• Skip to primary navigation
  • Skip to main content
  • Skip to primary sidebar
UT Shield
The University of Texas at Austin
  • About the Lab
  • Research
  • People
    • James W. Tunnell, PhD
  • Publications
  • Courses
  • Links
  • Nanoparticle + laser = cancer treatment

    Immunotherapy and targeted hyperthermia Immune checkpoint therapy has become the first widely adopted and successful immunotherapy for the treatment of late stage Read more 

    Nanoparticle + laser = cancer treatment
  • Noninvasive skin cancer diagnosis

    Mortality throughout the world due to cutaneous melanoma has been increasing over the past two decades, accounting for 3% of deaths caused by cancer. Because survival Read more 

    Noninvasive skin cancer diagnosis
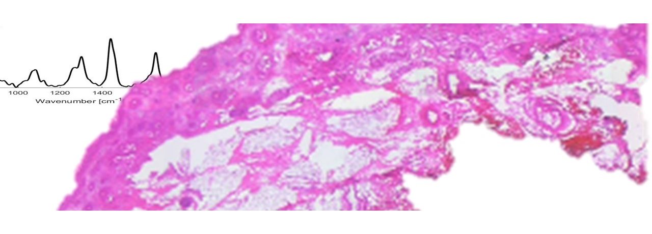
  • Image-guided surgery using Raman microscopy

    Surgery remains a primary tool to remove cancerous tumors; however, a major challenge of the procedure is incomplete surgical removal leading to recurrence, costly Read more 

    Image-guided surgery using Raman microscopy
  • Imaging fiber alignment

    We have developed a technique called polarized spatial frequency domain imaging (pSFDI) to noninvasively image fiber orientation and alignment in tissues with highly Read more 

    Imaging fiber alignment

About the Lab

The Biophotonics Laboratory is located in the Department of Biomedical Engineering at The University of Texas at Austin. We are developing technologies that use light (photonics) for biomedical applications that include noninvasive skin cancer screening, laser surgery, image-guided surgery, and targeted hyperthermia using nanoparticle enhanced photothermal therapy.

Primary Sidebar

Contact

James Tunnell, Ph.D.
Associate Professor

Dept of Biomedical Engineering
The University of Texas at Austin
512.232.2110
jtunnell[at]mail.utexas.edu

UT Home | Emergency Information | Site Policies | Web Accessibility | Web Privacy | Adobe Reader

© The University of Texas at Austin 2026